We had another sonogram in early February and we were able to find out gender!! We're having a boy and a girl - one of each - which makes it fun to shop. Cute things can fit either one. =)
It starting to become more and more real! It's amazing to think of how the babies are growing and thriving each day. They are about the size of an avocado this week (16 weeks). My first trimester was rough with all day nausea and fatigue, but now that we've made it to second trimester things are starting to look up and I'm feeling much better. =)
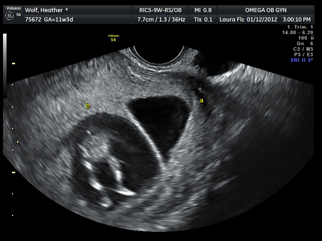
 |
| They're getting big enough that they don't fit one screen together - although we got a quick shot here. (I think a head and a behind with legs but not 100% sure) |
 |
| a wonderful profile of our baby girl |
 |
| our baby boy showing off =) |
 |
| our baby girl showing off like her brother =) |
We'll soon have another sonogram and pictures. I'll be sure to share with ya'll!